Metamorfozy uśmiechu

Metamorfoza - bardzo duże wyzwanie

Stare mosty, zaburzenia ortodontyczne za trudne do leczenia dla pacjenta. Efekt oszałamiający. “Teraz będę się uśmiechała cały czas “ powiedziała pacjentka po wyściskaniu mnie z radości… (pacjentka lat 58)

Most i korony pełnoceramiczne plus bonding

Dobrze zaplanowany uśmiech odejmuje wiele lat (pacjentka lat 60)

Projektowanie

Tak przygotowujemy się do pracy protetycznej. Projekt nałożony na zęby własne bez ich naruszania, akceptacja wyglądu i funkcji przez lekarza i pacjenta a następnie wykonanie pracy ostatecznej wg planu.

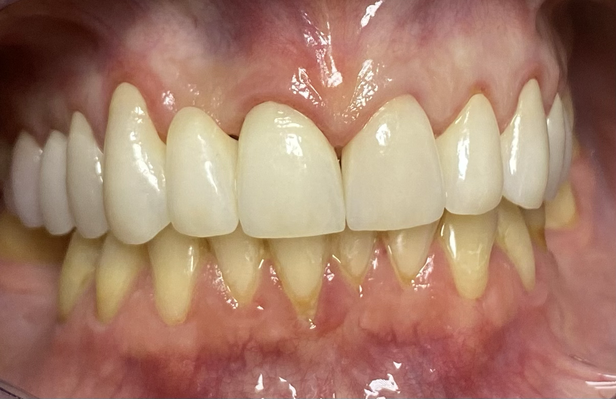
Metamorfoza (most cyrkonowy)

Brak zęba to nie wyrok. Most cyrkonowy wklejony na stałe daje swobodę i stabilny uśmiech. Często w takich sytuacjach decydujemy się na implant ale w związku z przebudową całego zgryzu to rozwiązanie było równie dobre (pacjentka lat 48)

Metamorfoza (70 lat)

Długie, niełatwe leczenie. Zadowolony uśmiech i wygładzone rysy twarzy wynagrodziły trud projektowania i wykonania pracy protetycznej (pacjentka lat 70)

Metamorfoza (35 lat)

Bardzo atrakcyjna przemiana młodej kobiety. Jest szczęście,radość i wreszcie swobodny uśmiech (pacjentka lat 35)

Opinie naszych Pacjentów

Sprawdź co mówią nasi Pacjenci

Bardzo polecam panią doktor skuteczne leczenie bardzo miła atmosfera i podejście wszystko na duży plus

Serdecznie polecam Panią doktor Płuciennik.
Bardzo dziękuję, przede wszystkim za profesjonalizm, indywidualne podejście do pacjenta oraz przemiłą atmosferę w gabinecie . Pani doktor to znakomity lekarz oraz wspaniały człowiek. Pełna kompetencji wizyta. Wszystko szczegółowo wyjaśnione. Leczenie na najwyższym poziomie z wykorzystaniem bardzo wysokiej jakości materiałów. Dziękuję również personelowi. Pani asystentce, która ma ogromne doświadczenie w pracy z pacjentem i przesympatycznej , zawsze pomocnej Pani Izie.

Polecam . Wzorcowo prowadzone leczenie przez Panią Doktor w miłej i przyjaznej atmosferze.

Bardzo polecam! Pani doktor jest prawdziwą pasjonatką swojego zawodu. Ciągle się doszkala, wybiera rozwiązania najkorzystniejsze dla pacjenta, bardzo uważnie go słucha i co najważniejsze jest bardzo dokładna.

Polecam całym sercem… takich oddanych, rzetelnych, wykształconych i dokładnych specjalistów już brak…Pani Stomatolog…przy dużej wiedzy… fachowości podejmuje się rzeczy niemożliwych..polecam całą rodzinę oddałam w ręce Pani Aleksandry

Pełny profesjonalizm . Przede wszystkim znakomita atmosfera ,przyjazny
personel. Również pełne objaśnienie zabiegu a potem znakomite wykonanie tej usługi .Bardzo polecam ten gabinet ,wszystko na najwyższym pozomie

Podejście bardzo profesjonalne. Wiele rad wskazówek , pełny wywiad pacjenta , uśmiech dla pacjenta !!!

Pani doktor ma bardzo profesjonalne podejście, zrobiła pełny wywiad przed rozpoczęciem leczenia i wyjaśniła wiele dolegliwości.

Umów wizytę

Zadzwoń lub skorzystaj z formularza

Stomatologia Płuciennik

Gabinet Stomatologiczny w Częstocowie